Hírek
2013. Február 09. 10:06, szombat |
NGM: elfogultan és nem a tények alapján minősít a Moody\'s
2013. Február 09. 10:04, szombat |
Kerekesszéket kapott a mozgáskorlátozott malac
2013. Február 09. 10:00, szombat |
A Bükkben és Zemplénben is működnek a sífelvonók
2013. Február 09. 09:58, szombat |
A mohácsi busójárás látványosabb programjai jönnek a hétvégén
2013. Február 09. 05:00, szombat |
Itt az új jogosítvány - minden uniós országban egységessé válik a vezetői engedély
2013. Február 09. 05:00, szombat |
EU-csúcs: több pénz juthat felzárkóztatásra
2013. Február 09. 05:00, szombat |
Általános tájékoztató az érettségi vizsgára történő jelentkezésről
2013. Február 09. 05:00, szombat |
Matricás rendszer kiterjesztésével oldnák meg az e-útdíjat?
2013. Február 09. 05:00, szombat |
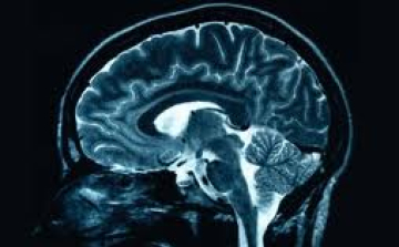
Az agy 'vakfoltja' felelős a gyilkosságokért?
2013. Február 09. 05:00, szombat |
A sült ételek növelik a stroke kockázatát
2013. Február 09. 05:00, szombat |
Nem vesznek fel jutalmat a helyi vízművek vezérigazgatói
2013. Február 09. 05:00, szombat |
EU-csúcs - Tabajdi: a kormány nem tudta érvényesíteni a magyar érdekeket